Compression Paddle
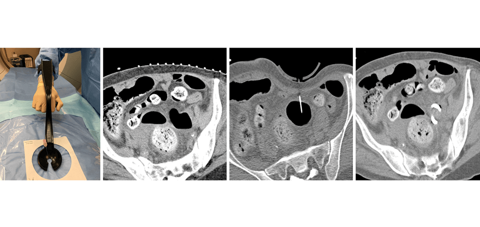
This compression paddle is a handheld external device used to facilitate CT fluoroscopy–guided percutaneous interventions in the abdomen. The device was designed using computer-aided design software starting from an existing gastrointestinal fluoroscopy compression device. 3D printing was used to physically prototype the device. The device facilitates access to interventional targets and its use minimizes radiation exposure of radiologists. The handgrip and curved armrest allow the operator
to control the device while applying continuous
pressure to the abdomen. The keyhole
cutout in the device was designed to help secure
two rubber bands that maintain a gap in the sterile
cover, facilitating placement of the spoon around a
needle while maintaining sterility.
The device was used to perform
18 biopsies, two abscess drainages,
and one liver microwave ablation.
It was particularly useful when bowel loops were
found to preclude safe needle access to the
target, when mobility of the target made targeting
difficult, and when bowel was too
close to the planned ablation zone.
A digital file
that can be used for 3D printing of the device
is offered as freeware here. Potential users must
accept the licensing terms before downloading
the file and printing the device.
The manuscript can be accessed here and the unedited version can be downloaded here.


